
Not everyone knows what arthrosis is, for this, people are confused in the methods of treatment and do not understand the principles of pathology diagnosis.Arthosis is a serious dystrophic violation that causes the injury of the cartilage tissues in the intraarticular cavity.The complexity of the therapy is associated with the irreversibility of the processes, it is not possible to obtain complete cure in the framework of modern medicine, but the severity of the symptoms can be reduced and the progression of the pathology can slow down.With adequate treatment, a person continues the usual lifestyle for a long time.
What is arthrosis?
In the same way, it is easier for arthrosis to be a disease is a disease of the joints that causes the restriction of the amplitude of movement and pain.In the first phase of the damage, there are no manifestations, they have a slight gravity and washed away.Gradually, the pathology progresses, this is facilitated by changes related to age in the body, stress, injuries, etc.According to statistics, about 80% of the population over the age of 60 from arthrosis.
The arthrosis of the joint develops for a long time, initially affects only the cartilage IALINA, then spreads to the bones, involves the synovial shell, the muscles and the entire capsule of the joint.In the first or early phase of arthrosis, the lesion manifests itself slightly: small pains after hard work, swelling, redness of the skin.Due to the ignorance of uncomfortable sensations, the articulation is deformed, inflamed, brings serious pain, their peak falls in the morning.The disease is characterized by the disappearance of pain after the development of the joint.If not treated, a person completely loses the mobility of the joint.

There is a primary and secondary form of arthrosis.Pseudo-arthrosis (neoartrosis) also stands out, not many people know what it is, since it is less often formed than other varieties.Neoartrosis is a false articulation, therefore the cartilage tissue increases in an unusual place where the damage was obtained.It is difficult to treat, mainly surgically.
There is a pathology due to disorders of regenerative function, immunity or mechanical damage.Due to various causes of cartilage, it becomes thinner.In normal conditions, the cartilage tissue receives sufficient nutrition for recovery, but after excessive physical effort or due to a violation of metabolic processes, the tissues do not have time to regenerate.In the first phase, joint mobility remains.Having considered what arthrosis is a definition, it is worth deepening in more detail the development of the pathology.
The mechanism of arthrosis, its types
Many varieties of arthrosis develop according to a similar scheme:
- The primary injury affects the cartilage IALINA.In case of circulatory disorders, a deterioration of pathological power occurs.It is the first step or cause, which can occur arthrosis.
- IALINA coating pathologies.The thinning of the cartilage leads to the replacement of its pathological tissues - bone structures.
- The anomalous growths appear on cartilage - osteophytes.
- The violation of the drift of the natural anatomy of cartilage and bones causes the overload of healthy cartilage areas.The destruction of joint tissues without treatment is constantly progressing and leads to disability.
When the degree of disease increases, pathological processes are still aggravated.In the end, the whole cartilage IALINA is destroyed.
The latest degree of disease leads to:
- involvement in the pathological process of the bones, below and above the cartilage surfaces;
- irritation of a joint shell, limiting mobility, which leads 2 degrees to disability;
- increase in the density of the capsule;
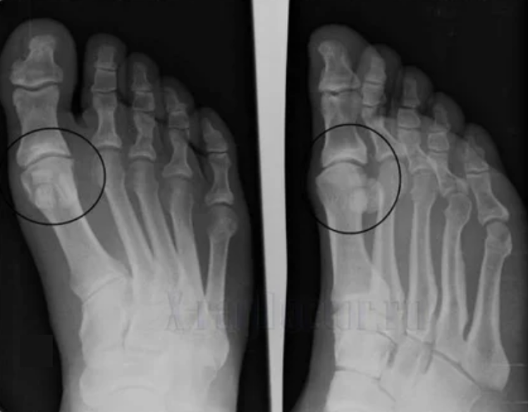
- Reduce the gap into the gap of the joint, which becomes evident in the photo.The stage of the violation is determined by the diagnostic-anthgenologist.The patient feels the complexity or inability to straighten and completely fold the limb;
- Joint deformation, the cartilage acquires an irregular shape, causing curvature;
- deterioration of the patient's conditions with complete destruction of the joint.
Osteoarthritis phase
Joint disease has 3 development phases:

- 1 degree.Morphological disorders have already started, but are not yet evident.The pathology mainly affects the condition of the synovial fluid, which worsens the cartilage tissues with nutritional components, reducing the strength of the cartilage.The load on the joints causes inflammation and pain.
- Phase 2The pains acquire a more pronounced character, intensified after a long rest, they are eliminated by a small physical labor.The pain is accompanied by inflammation.The muscles are elongated, which leads to motor functions with weak or medium disabilities.
- 3 degrees.Often there are pains, it is difficult to move the limb due to changes in the joint.The lesions are extended, they become evident to the naked appearance.The deformation of the joint site occurs, the affected area swells and becomes red.The axis of the limb is disturbed, which leads to the complexity of the movement.Pathological changes cause the shortening of ligaments.Subbules and contractures appear.The adjacent muscles are abbreviated or elongated, from which the contractile function is weakened.
Causes and risk factors for the development of arthrosis
The causes of arthrosis of the joints differ according to the form of pathology.By deforming the arthrosis of the elbow joint, the artery articulation and the shoulder arthrosis sometimes develops without obvious causes, it is possible to detect them with a doctor, a specialist in rheumatology.If the problem has not been preceded by visible pathologies, the disease is called primary.The secondary form of violation is mainly diagnosed, it can cause various states.
The main reasons for development:
- Mechanical damage: dislocations, fractures, lengthening, meniscus injuries;
- A number of endocrine disorders associated with malfunctions in the work of immunity;
- Metabolism pathologies;
- dysplasia (congenital anomalies of joint tissues);
- has undergone inflammation of the joints;
- Pathologies that lead to high mobility of the joints and weakening of ligaments.
Highth patients have often met a disease due to predisposing factors:
- age -related changes;
- Light weight and IMC increase.The high load on the joint leads to rapid joint wear;
- lack of beneficial substances;
- Excessive load on the joints.The reason is intense training, sport, hard physical work;
- Difficult working conditions or an incorrect approach to sport.If there is a history of a genetic tendency to damage, joint lesions or similar diseases, it is important to adhere to a special training program, avoiding traumatic and difficult exercises;
- The postoperative recovery period or complex transmitted operations associated with the excision of a large part of the fabrics concerned.These states negatively influence the softness and resistance of the cartilage, the load should be reduced to a minimum on them;
- Genetic trend, arthrosis is more often diagnosed in patients who have relatives with the same pathology;
- The postmenopausal phase occurs in women for about 50 years, is associated with changes in the endocrine system;
- the destructive effect of toxins;
- poor environmental situation in the region of residence;
- They frequently give to the joint, sometimes the microcracks do not appear for a long time;
- hypothermia;
- Pathology of the lumbar and cervical part of the spine.
Primary arthrosis

Primary arthrosis is formed independently, that is, without the influence of internal or external causes.The defeat develops through the cartilage IALINA slowly quite quite.It is rarely diagnosed, it represents only 3-5% of all cases.
Secondary arthrosis
Secondary arthrosis is often detected by an order of 95-96% of cases.Are caused by one of the above pathologies.
Signs and symptoms of arthrosis
The manifestations of the disease differ little depending on the location, more often the signs are reflected on the knees, on the joints of the shoulder and hip, due to the high load.
Mainly complaints are reduced to:
- Pain.They have a low severity in the initial phase, with the aggravation of the state of sensation.Initially, the joints hurt only after waking up, after a hot light, the sensations disappear.Over time, the pains appear at night, they disturb considerably during and after the prolonged walk, the race, etc.At the last phase, pain syndrome pursues a person all the time;
- limited width of movements.The rigidity of the actions indicates anatomical changes in the structure.Initially it manifests itself in the morning, so the daily movements are limited.In order not to cause aggravation of the condition, the work must be different and light, otherwise the patient will not be able to unlock and squeeze the limb over time.Over time, there is the risk of contracts, from which a person loses their motor ability;
- Crown during the movements: it belongs to the non -specific manifestations of arthrosis.The disease is characterized by the control of crunch in a single articulation (with the exception of polyartrosis), accompanied by a discomfort, pain and limited actions.The nature of the current is similar to wave - at the beginning it manifests itself weakly, gradually intensifying, but in 3 phases it disappears;
- swelling with redness.It is located near the sick joint, this indicates an inflammatory process and a progression of the disease.The doctor understands that the synovial shell is influenced, this causes the accumulation of fluid and an increase in pain;
Deformations of the limbs.It appears in a neglected form of the disease, indicates the complete destruction of the cartilage tissue and the appearance of osteophytes.In this state, the pressure on the joints on the upper and lower part increases, from which the curvature can affect the entire limb.
It is important to remember that the deformation of the bones on the leg is often confused with corn.The symptom is poorly dangerous only at first sight, but leads to serious consequences.
Complications
Initially, conservative therapy methods are used for treatment.If they are ineffective or the patient has ignored the doctor's recommendations, there is a risk of consequences.
Possible complications:
- The joint is completely destroyed;
- The limb is immobilized, all movements become extremely difficult;
- intervertebral hernias;
- disability;
- Strong deformation of the article or the entire limb.
Diagnosis of arthrosis
To make a diagnosis, rheumatologists study the patient's complaints and prescribe an X -ray exam. Very often, radiography is used in 2 projections.The doctor examines the presence of dystrophic disorders in the Ialina cartilage and in the bone joints.If the joint gap is reduced, the bones are deformed or flattened, there are cystic formations on the surface of the cartilage, osteophytes are evident signs of arthrosis.During the inspection, arthrosis indicates the instability of the joint: the axis of the limbs and the subluxation is disturbed.

Often a X -ray image is not able to provide complete information on the condition of the joint.For a more in -depth study, computerized tomography is prescribed, it is effective for examining the bones.Magnetic resonance imaging is most often used to study soft tissues.
During the diagnosis, the involvement of other specialists are practiced who will help determine the main cause of the pathology.They often resort to the consultation of a hematologist, endocrinologist, gynecologist, orthopedist.
Modern treatment
There are hundreds of ways of arthrosis therapy, but they all reduce themselves to a series of methods:
- Pharmacological treatment.The main task is to fight symptoms and prevent further development of a violation.Very often, analgesics are used to relieve pain, anti -inflammatory drugs non -pounds to combat inflammation, hormonal drugs are prescribed for severe pain and acute inflammation.Each course is based on chondroprotectors who protect the cartilage tissues from destruction, natural substances are used for their production;
- physiotherapy.It improves the effectiveness of drugs, struggles with inflammation, relieves symptoms, accelerates the regeneration of the tissues.More often used ultrasound laser therapy, electric, magnetic.This also includes mud baths, applications with natural materials, radon baths;
- Medical physical education.It is useful both as prevention and how to facilitate the condition.After the correct physical exercises, it is possible to completely eliminate the pain.It is useful to visit the swimming pool, engage in yoga and often walk;
- Manual therapy, massage will help in the treatment of the disease, as they contribute to the prevention of the curvature of the joints.After the injuries, the manual therapist is able to level the joint, preventing his fixation in the wrong position.After massage, muscle tone has improved, blood circulation is accelerated;
- Adequate nutrition.A healthy diet will help enrich the body with nutrients for cartilage and reduce body weight.A large mass increases the wear of the joints;
- Treatment with Santorium-stay will strengthen the joints.In the framework of healing, the sanitors are offered bathing, operating therapy, physiotherapy procedures, etc.;
- Non -traditional therapy.For the treatment of arthrosis, huts, natural medicine, herbs, as well as acupuncture and various popular recipes;
- Surgery is the only way to return to the usual life in the third phase of the disease.Endoprothetics allows you to replace the patient cartilage with the plant.The only drawback of the operation is the high cost.A procedure is sufficient for 15-20 years.
Preventive measures
So that the arthrosis of the joint is not distinguished in old age:
- maintain a healthy lifestyle;
- prevent strong loads;
- observe a diet;
- exclude bad habits;
- Perform gymnastics every day;
- Follow the weight.
Arthosis is a dangerous disease that is much easier to prevent than cure.With the timely research of a doctor and respect for the rules of treatment, the patient will be able to maintain a family lifestyle for a long time.The lack of therapy and cars -mediation causes the rapid aggravation of the disease and, ultimately, disability.
























